应用谱图搜索
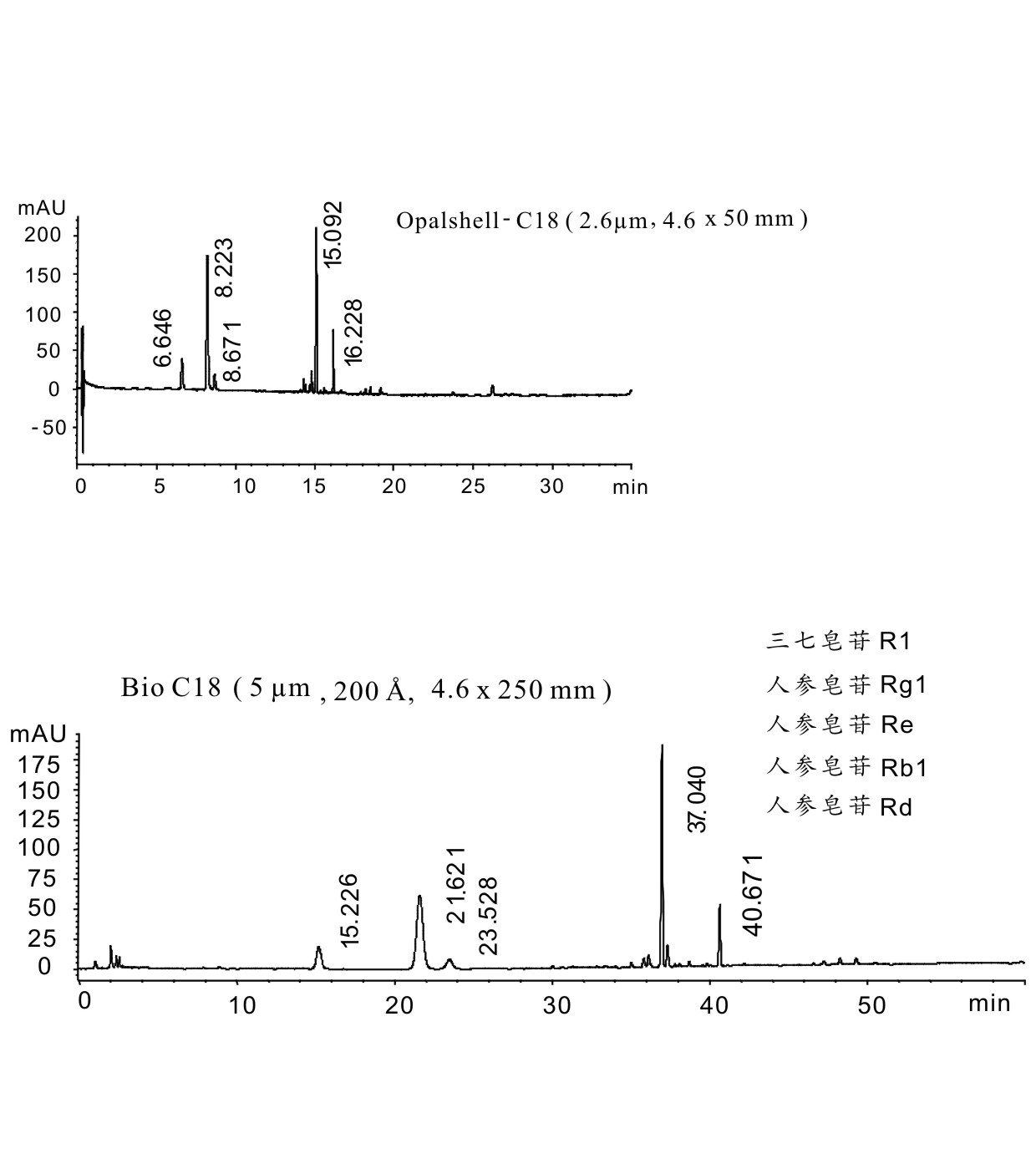
三七皂苷粉

应用编号(Application ID):
样品分类(Sample Category):医药(Pharmaceutical)
分离模式(Separation Mode):反相(Reversed phase chromatography)
产品系列(Product Line):Opalshell
方法(Method):
色谱条件
|
Mobile phase: |
A: ACN; B: H2O |
|
Flow rate: |
1.5 mL/min |
|
Temperature: |
25 oC |
|
Detection: |
UV 203 nm |
|
Injection Volume: |
10 µL |
|
Sample: |
三七皂苷粉( 2.5 mg/mL diluted by 70% methanol ) |


